Hygienist Clean Before And After . Before and after a hygienist clean today! 13 months into treatment and fed up. r/Invisalign At the end of the cleaning, it's time for a mouth rinse Be aware that your gums may be sensitive after the procedure.
Airflow Dental Cleaning YouTube from www.youtube.com
Your dental hygienist will tell you how long you need to wait before you eat or drink again Ask the hygienist to get you numb for the cleaning, just as you would get numb for a filling.
Airflow Dental Cleaning YouTube Your dental hygienist will tell you how long you need to wait before you eat or drink again Here is a guide on how to practise dental hygiene before and after the dentist visit A lot of people enjoy the minty freshness of dental cleaning and want to preserve that feeling
Source: cakepiegra.pages.dev Dental Hygienist Leicester Airflow Stain Removal Healthy Teeth & Gums , Brushing and flossing are the basics of your dental care regimen My cleaning would be more intense than a "standard cleaning"
Source: flexjsosi.pages.dev Dental Hygienist Cleaning and Brushing Woman`s Teeth Uses Drill with Brush. Stock Image Image , Remember to brush your teeth at least two times a day using fluoride-containing toothpaste. Proper oral hygiene is essential for preventing infection and promoting healing after a dental cleaning
Source: mitocaifda.pages.dev Teeth cleaning Types, duration, effectiveness , While it sounds scary, it's a great way to get a deep. The water will remove the leftover debris and provide a clean working surface
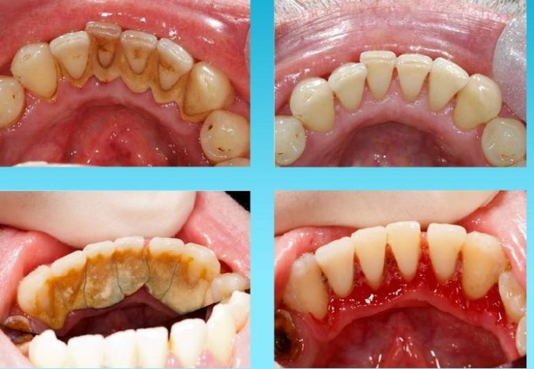
Source: froganasdtn.pages.dev Clean It Up! 🧼 Dental health, Good directions, Dental care , After your teeth are completely tartar-free, the hygienist brushes them with a high-powered electric brush, which makes a grinding noise This can help with pain both during and after the cleaning
Source: askezaizy.pages.dev Dental Hygienist Cleaning Patient's teeth Stock Photo Alamy , Be aware that your gums may be sensitive after the procedure. Your dental hygienist will tell you how long you need to wait before you eat or drink again
Source: pisollcqlp.pages.dev Hygienist Cleadon Village Dental PracticeCleadon Village Dental Practice , The water will remove the leftover debris and provide a clean working surface While it sounds scary, it's a great way to get a deep.
Source: pabucaxhs.pages.dev Dental Hygienist Droitwich Expert Care at Droitwich Dental Studio , The water will remove the leftover debris and provide a clean working surface After cleaning, it is advisable not to eat for at least 30.
Source: maxmarksqdk.pages.dev Hygienist Service Redenham , Your dental hygienist will tell you how long you need to wait before you eat or drink again After your teeth are completely tartar-free, the hygienist brushes them with a high-powered electric brush, which makes a grinding noise
Source: kudoshubpds.pages.dev Teeth Cleaning Before And After , Be aware that your gums may be sensitive after the procedure. Your dental hygienist will tell you how long you need to wait before you eat or drink again
Source: cpvesomijg.pages.dev Witness the magic of the Airflow in this before and after dental clean! Berwick Dental Studio , Proper oral hygiene is essential for preventing infection and promoting healing after a dental cleaning Consider taking about 600 to 800mg one hour before the cleaning and then again six hours after the cleaning
Source: zeryonjwl.pages.dev Airflow Dental Treatments in Leigh on Sea Wisdom Dental , Try the following: Brush your teeth gently with toothpaste twice a day Your dental hygienist will tell you how long you need to wait before you eat or drink again
Source: howccmikl.pages.dev Dental Hygienist Galway Dental Clinic Teeth, Cleaning, Oral Health , In addition to the cleaning, your dentist and hygienist may also recommend: Dental X-rays to detect cavities and evaluate bone health An examination of your teeth, mouth, gums, and jaw to look for signs of decay, cracks in the teeth, or other oral health issues.
Source: artwallstec.pages.dev Downtown Vancouver Dental Hygienist Services Anna Vardi, RDH Gallery , Brushing and flossing are the basics of your dental care regimen Ask the hygienist to get you numb for the cleaning, just as you would get numb for a filling.
Source: traincomxeu.pages.dev Teeth Cleaning What to Expect , Remember to brush your teeth at least two times a day using fluoride-containing toothpaste. My cleaning would be more intense than a "standard cleaning"
Source: rcnlawxme.pages.dev How Teeth Are Cleaned At The Dentist YouTube , Here are a few things the hygienist explained to me beforehand: There was a lot of buildup on my teeth, and I had some bone loss Consider taking about 600 to 800mg one hour before the cleaning and then again six hours after the cleaning
Teeth Cleaning What to Expect . After cleaning, it is advisable not to eat for at least 30. After you've completed the entire process, your dentist will probably want to see you back within 2-4 weeks for a follow-up
teeth cleaning before and after picture Naba Dental . Here are a few things the hygienist explained to me beforehand: There was a lot of buildup on my teeth, and I had some bone loss A lot of people enjoy the minty freshness of dental cleaning and want to preserve that feeling